Каталог |
|
|
|
|
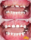
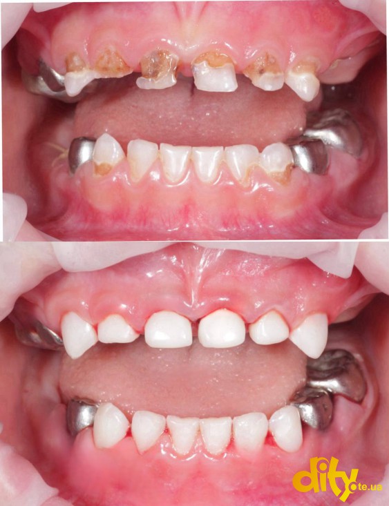
![]() Широкий спектр стоматологічних послуг від професійної гігієни до імплантації та кісткової пластики, дитячий прийом з психологічною адаптацією маленького пацієнта. Адреса: м.Тернопіль вул. С.Будного, 20Б тел.: (093)021-64-63 та (067)67-97-875 https://www.instagram.com/biodenta_clinic/ Електронна пошта: biodenta.clinic@gmail.com Сайт: biodenta.te.ua | ![]() |














